Tandpleje for ældre over 75 år
Det er vigtigt at passe godt på tandsættet, så man bevarer sine tænder hele livet.
I dag har langt de fleste deres egne tænder. Det er vigtigt at passe godt på tandsættet og forsætte de regelmæssige eftersyn hos egen tandlæge så længe som muligt.
Der er meget du selv kan gøre for at bevare dine tænder hele livet.
Den gode mundpleje
- Børst tænder morgen og aften med tandpasta med fluor. Undgå at skylle munden bagefter.
- Anvend den tandbørste der fungerer for dig, almindelig eller elektrisk. Vi anbefaler dog, at den er blød, og at børstehovedet er lille.
- Husk at børste systematisk, så alle tænderne bliver rene.
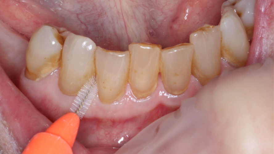
- Anvend dagligt mellemrumsbørste eller tandstikker i tandmellemrum.
- Hvis du har protese eller delprotese, så husk også at børste den godt.
Medicin
Nogle typer medicin kan medføre nedsat spytmængde. Dermed øges risikoen for huller i tænderne og lidelser i munden slimhinder. Oplever du mundtørhed, er det vigtigt:
- at få væske - undgå sukkerholdige drikke
- at bruge tandpasta med fluorid indhold
- at komme til kontrol ved tandlægen - det kan være nødvendigt med ekstra behandlinger med fluorid.
Mundhygiejnen påvirker helbredet
Mundhulebakterier der indåndes kan give lungebetændelse. Der er påvist sammenhæng mellem diabetes og parodontose. Ligeledes kan der være en sammenhæng mellem hjertekarsygdomme og bakteriefloraen i mundhulen.
Tilskud til tandbehandling for pensionister
Der kan søges tilskud til tandbehandling efter pensionsloven §14 hos kommunen. Kommunen vurderer ansøgerens økonomi og tager stilling til om der kan ydes tilskud til tandundersøgelse, tandbehandlinger samt aftagelig protetik. Henvendelse sker til Borgerservise.
Omsorgstandpleje
Får man vanskeligheder med at benytte det almindelige tandplejetilbud på grund af svigtende helbred og nedsat førlighed, kan man blive visiteret til omsorgstandpleje.



